وكالة تليسكوب الاخبارية
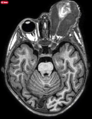
روى مدير عام مركز الحسين للسرطان الدكتور عاصم منصور حالة لطفل غزاوي مصاب بورم في العين، الذي التهم كامل عينه وانطلق خارجها. بحسب وصفه. وأوضح منصور أن نسبة الشفاء من هذا النوع مرتفعة لو تم نقل الطفل مبكرا دون عرقلات الاحتلال. وبين منصور أن معظم الأطفال الذين وصلونا من هناك كانوا في حالة متقدمة من المرض. وتاليا ما كتبه الدكتور منصور عبر حسابه على فيس بوك: “صورة الرنين المغناطيسي هذه لطفل غزيّ مصاب بورم في العين، ولا تحتاج أن تكون طبيباً مختصاً في علم الأشعة أو طب العيون لتدرك حجم الورم الذي التهم كامل العين لا بل انطلق خارجها. لو تم نقل هذا الطفل مبكراً لتمكنا من انقاذ هذه العين، فنسبة الشفاء من هذا النوع من الأورام مرتفعة جداً، لكن الاحتلال عرقل خروجه كما هو حال آلاف المرضى، ليصلنا بهذه الحالة المتقدمة جداً. معظم الأطفال الذين وصلونا من هناك كانوا في حالة متقدمة من المرض. أعلم أن هذه الحالات قد لا تسترعي الانتباه في ظل الكارثة الإنسانية وحجم المحرقة المستمرة منذ أكثر من عام لكن لا بد لنا من وقفة جادة لإنقاذ حياة الاف مرضى السرطان الذين يعانون بصمت ولا يجدون أبسط مقومات العلاج”.

